Highland EM Ultrasound Fueled pain management
Common ED Injury
clavicle fracture
sole of foot laceration anesthesia
Shoulder dislocation
Humeral Fracture
distal radius fracture
Boxer's fracture
palmar / hand laceration
Anterior / Lateral Rib Fracture
Posterior Rib Fracture
Hip Fx/Femur Fx
pubic rami fracture
distal tibia/fib fracture (bimall fracture)
Block Basics
What med?
What needle?
How to Document
Block Anatomy
Catheters
Our basic block guidelines
Upper Extremity Blocks
Superficial cervical plexus*
Interscalene*
Supraclavicular Brachial Plexus*
RAPTIR
Axillary Nerve (deltoid)
Musculocutaneous
Upper extremity extra info
Infraclavicular
Median / Ulnar / Radial*
Head / Neck
Facial blocks
Clavipectoral Block
Lower Extremity Blocks
Infrainguinal Fascia Iliaca Plane Block ( AKA : Femoral Nerve Block)
Femoral worksheet
PENG
Saphenous
Pop Block - Popliteal Sciatic Block*
Tibial
Lower extremity
Transgluteal Sciatic Nerve Block
Penile block
Genicular Nerve Block
Truncal Blocks
PECS/SERRATUS
Serratus Anterior Plane EASY
TAP Block
ERECTOR SPINAE / ESPB
Trunk
Athrocentesis
Arthrocentesis: Shoulder
Arthrocentesis: Hip
Arthrocentesis: Knee
Arthrocentesis: Ankle
Wrist arthrocentesis
AC Separation
Vascular Access - Procedure
Vascular: Internal Jugular
Vascular: Supraclavicular Subclavian
Vascular: Infraclavicular Subclavian
Lumbar Puncture
PERICARDIOCENTESIS
DIAGNOSTIC
*New* Triple Scan for Acute Dyspnea
APPY DX
Blockheads Course (In-person)
PAIN & ADDICTION
*New* Highland Bridge - Substance Use Disorder treatment
Beyond blocks
Buprenorphine for pain
OIH
Ketamine
Notes on Acute pain Treatment
Fellowship
Video Cases
About
Common ED Injury
/
clavicle fracture
sole of foot laceration anesthesia
Shoulder dislocation
Humeral Fracture
distal radius fracture
Boxer's fracture
palmar / hand laceration
Anterior / Lateral Rib Fracture
Posterior Rib Fracture
Hip Fx/Femur Fx
pubic rami fracture
distal tibia/fib fracture (bimall fracture)
Block Basics
/
What med?
What needle?
How to Document
Block Anatomy
Catheters
Our basic block guidelines
Upper Extremity Blocks
/
Superficial cervical plexus*
Interscalene*
Supraclavicular Brachial Plexus*
RAPTIR
Axillary Nerve (deltoid)
Musculocutaneous
Upper extremity extra info
Infraclavicular
Median / Ulnar / Radial*
Head / Neck
Facial blocks
Clavipectoral Block
Lower Extremity Blocks
/
Infrainguinal Fascia Iliaca Plane Block ( AKA : Femoral Nerve Block)
Femoral worksheet
PENG
Saphenous
Pop Block - Popliteal Sciatic Block*
Tibial
Lower extremity
Transgluteal Sciatic Nerve Block
Penile block
Genicular Nerve Block
Truncal Blocks
/
PECS/SERRATUS
Serratus Anterior Plane EASY
TAP Block
ERECTOR SPINAE / ESPB
Trunk
Athrocentesis
/
Arthrocentesis: Shoulder
Arthrocentesis: Hip
Arthrocentesis: Knee
Arthrocentesis: Ankle
Wrist arthrocentesis
AC Separation
Vascular Access - Procedure
/
Vascular: Internal Jugular
Vascular: Supraclavicular Subclavian
Vascular: Infraclavicular Subclavian
Lumbar Puncture
PERICARDIOCENTESIS
DIAGNOSTIC
/
*New* Triple Scan for Acute Dyspnea
APPY DX
Blockheads Course (In-person)
/
PAIN & ADDICTION
/
*New* Highland Bridge - Substance Use Disorder treatment
Beyond blocks
Buprenorphine for pain
OIH
Ketamine
Notes on Acute pain Treatment
Fellowship
/
Video Cases
/
About
/
Serratus Anterior Plane (EASY)
Common ED Injury
/
clavicle fracture
sole of foot laceration anesthesia
Shoulder dislocation
Humeral Fracture
distal radius fracture
Boxer's fracture
palmar / hand laceration
Anterior / Lateral Rib Fracture
Posterior Rib Fracture
Hip Fx/Femur Fx
pubic rami fracture
distal tibia/fib fracture (bimall fracture)
Block Basics
/
What med?
What needle?
How to Document
Block Anatomy
Catheters
Our basic block guidelines
Upper Extremity Blocks
/
Superficial cervical plexus*
Interscalene*
Supraclavicular Brachial Plexus*
RAPTIR
Axillary Nerve (deltoid)
Musculocutaneous
Upper extremity extra info
Infraclavicular
Median / Ulnar / Radial*
Head / Neck
Facial blocks
Clavipectoral Block
Lower Extremity Blocks
/
Infrainguinal Fascia Iliaca Plane Block ( AKA : Femoral Nerve Block)
Femoral worksheet
PENG
Saphenous
Pop Block - Popliteal Sciatic Block*
Tibial
Lower extremity
Transgluteal Sciatic Nerve Block
Penile block
Genicular Nerve Block
Truncal Blocks
/
PECS/SERRATUS
Serratus Anterior Plane EASY
TAP Block
ERECTOR SPINAE / ESPB
Trunk
Athrocentesis
/
Arthrocentesis: Shoulder
Arthrocentesis: Hip
Arthrocentesis: Knee
Arthrocentesis: Ankle
Wrist arthrocentesis
AC Separation
Vascular Access - Procedure
/
Vascular: Internal Jugular
Vascular: Supraclavicular Subclavian
Vascular: Infraclavicular Subclavian
Lumbar Puncture
PERICARDIOCENTESIS
DIAGNOSTIC
/
*New* Triple Scan for Acute Dyspnea
APPY DX
Blockheads Course (In-person)
/
PAIN & ADDICTION
/
*New* Highland Bridge - Substance Use Disorder treatment
Beyond blocks
Buprenorphine for pain
OIH
Ketamine
Notes on Acute pain Treatment
Fellowship
/
Video Cases
/
About
/
serratus anterior plane block
© 2012 by
Arun Nagdev
is licensed under
CC BY-NC-ND 4.0
Serratus Anterior Plane Block (simplified)
Understand the basic surface anatomy
Understand the Nervous Anatomy
Place the transducer in approximately the midaxillary line (marker facing the pectoralis)
Recognize the ultrasound anatomy
Pattern recognition
Open the fascial plane above the serratus muscle
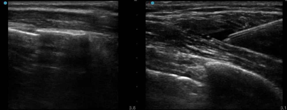
Left image - note the rib fracture
Right image - deposition of anesthetic between the lat dorsi muscle and serratus
Common ED Injury
/
clavicle fracture
sole of foot laceration anesthesia
Shoulder dislocation
Humeral Fracture
distal radius fracture
Boxer's fracture
palmar / hand laceration
Anterior / Lateral Rib Fracture
Posterior Rib Fracture
Hip Fx/Femur Fx
pubic rami fracture
distal tibia/fib fracture (bimall fracture)
Block Basics
/
What med?
What needle?
How to Document
Block Anatomy
Catheters
Our basic block guidelines
Upper Extremity Blocks
/
Superficial cervical plexus*
Interscalene*
Supraclavicular Brachial Plexus*
RAPTIR
Axillary Nerve (deltoid)
Musculocutaneous
Upper extremity extra info
Infraclavicular
Median / Ulnar / Radial*
Head / Neck
Facial blocks
Clavipectoral Block
Lower Extremity Blocks
/
Infrainguinal Fascia Iliaca Plane Block ( AKA : Femoral Nerve Block)
Femoral worksheet
PENG
Saphenous
Pop Block - Popliteal Sciatic Block*
Tibial
Lower extremity
Transgluteal Sciatic Nerve Block
Penile block
Genicular Nerve Block
Truncal Blocks
/
PECS/SERRATUS
Serratus Anterior Plane EASY
TAP Block
ERECTOR SPINAE / ESPB
Trunk
Athrocentesis
/
Arthrocentesis: Shoulder
Arthrocentesis: Hip
Arthrocentesis: Knee
Arthrocentesis: Ankle
Wrist arthrocentesis
AC Separation
Vascular Access - Procedure
/
Vascular: Internal Jugular
Vascular: Supraclavicular Subclavian
Vascular: Infraclavicular Subclavian
Lumbar Puncture
PERICARDIOCENTESIS
DIAGNOSTIC
/
*New* Triple Scan for Acute Dyspnea
APPY DX
Blockheads Course (In-person)
/
PAIN & ADDICTION
/
*New* Highland Bridge - Substance Use Disorder treatment
Beyond blocks
Buprenorphine for pain
OIH
Ketamine
Notes on Acute pain Treatment
Fellowship
/
Video Cases
/
About
/
Highland EM Ultrasound Fueled pain management